
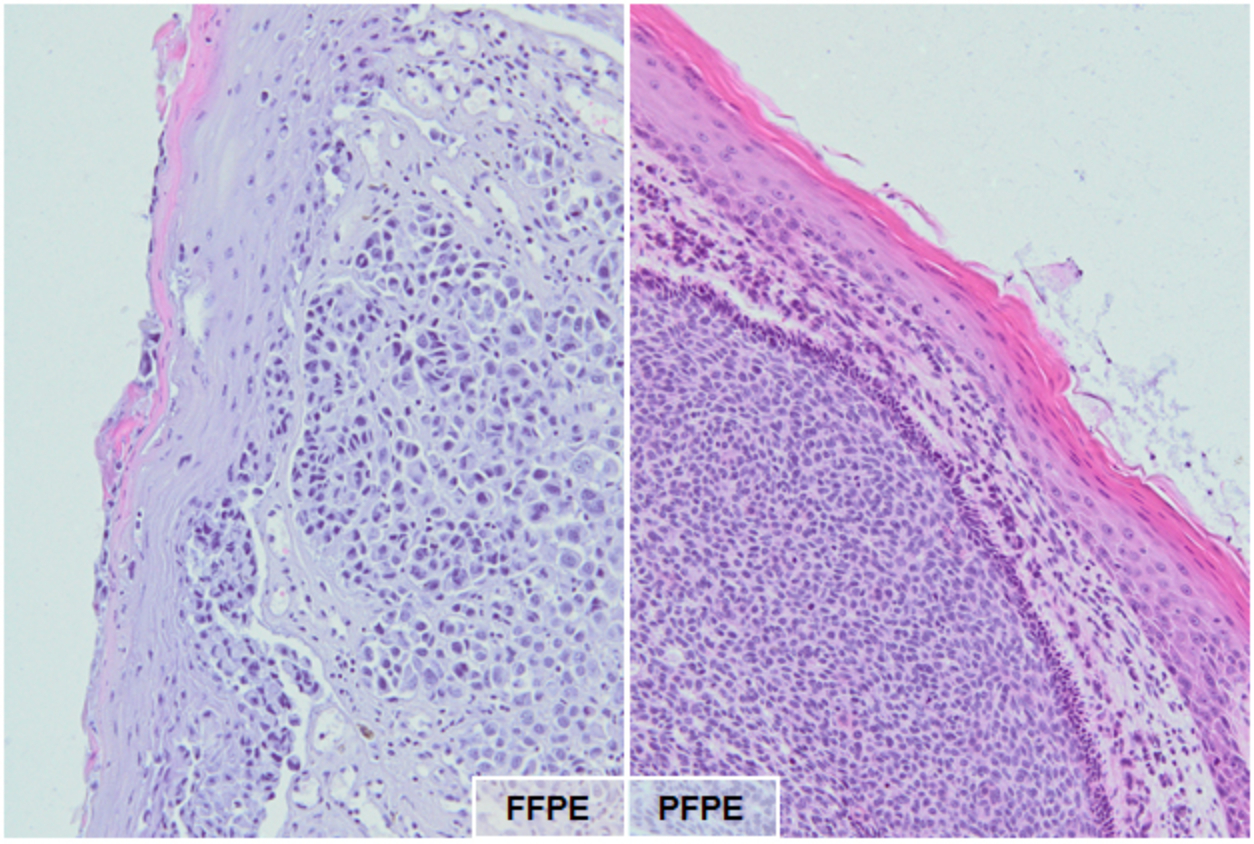
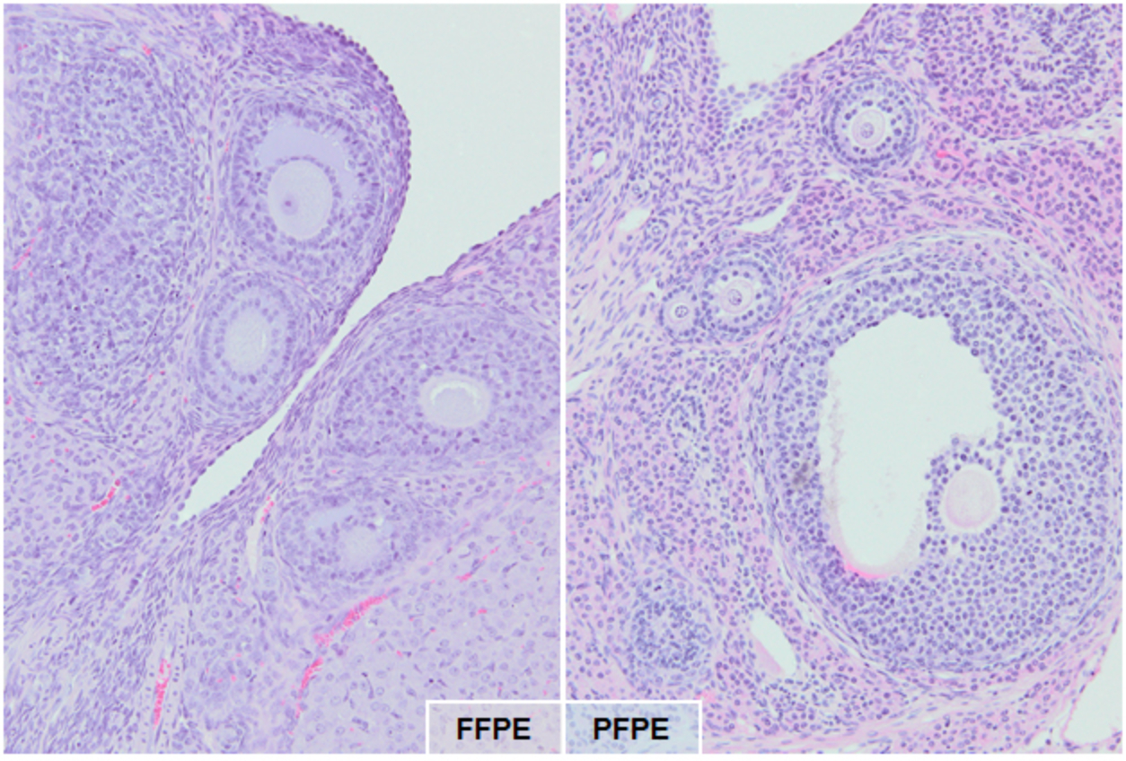
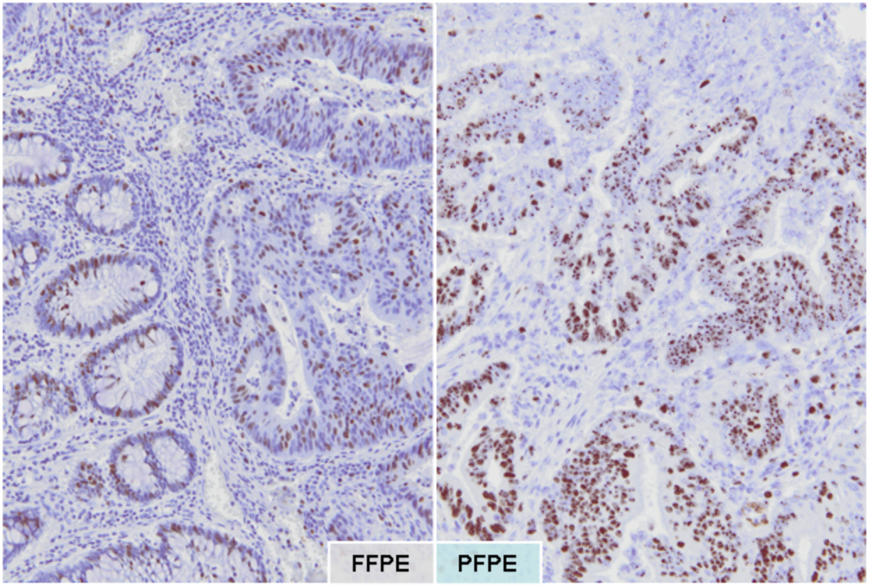
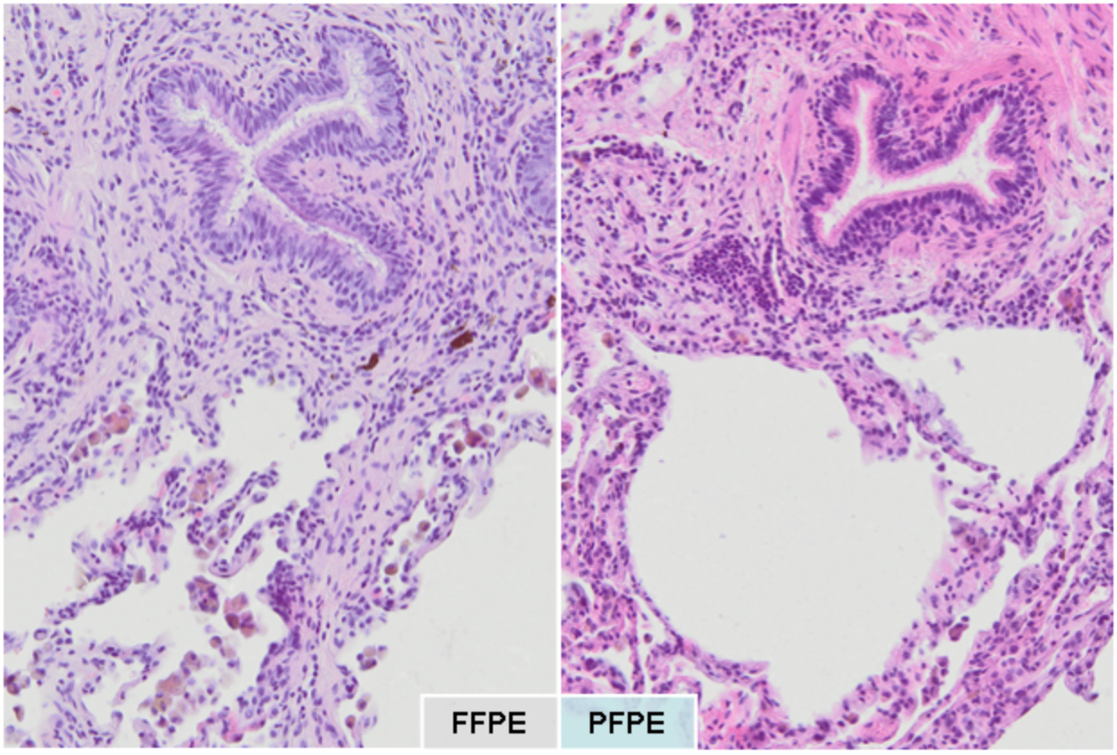
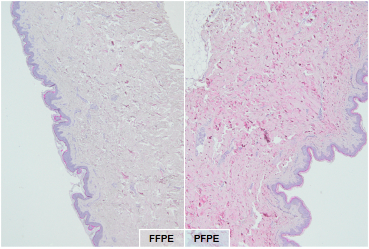
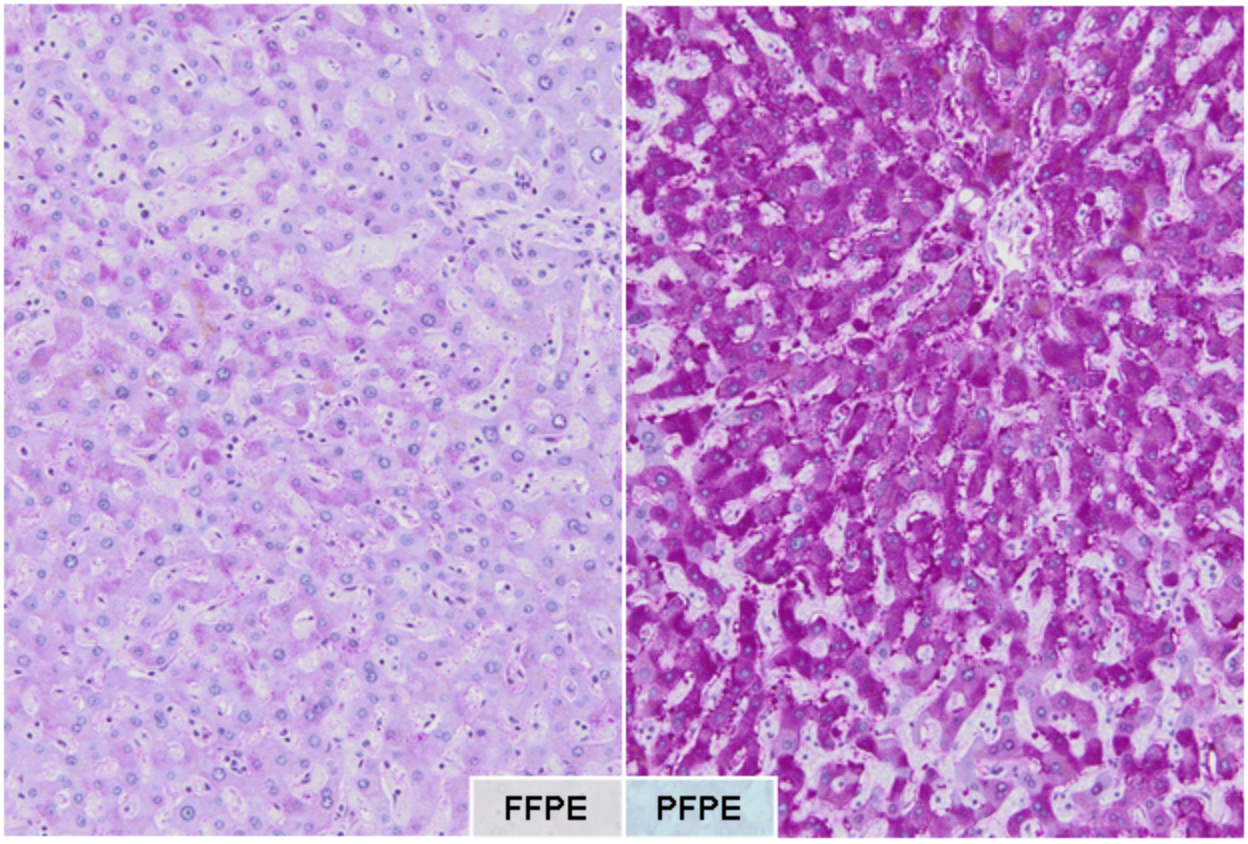
Stained sections of mirrored samples from formalin-fixed, paraffin-embedded (FFPE) and PAXgene Tissue-fixed, paraffin-embedded (PFPE) tissues.
Click here to learn more about the PAXgene Tissue System.
Click slide images to enlarge.
Use the filters to narrow down the selection of images.



