
The PAXgene Tissue System is a formalin-free solutions that enables the integrated fixation, storage and processing of tissue samples for both histological and molecular analysis of the same tissue.
The system consist of a fixation reagent, a stabilization reagent and kits for the purification of DNA (PAXgene Tissue DNA Kit) or total RNA, including miRNA (PAXgene Tissue RNA/miRNA Kit). Additionally, supplementary protocols for other applications, including purification of full-length proteins, are available (see Qproteome FFPE Tissue Kit).
The fixation reagent contained in the PAXgene Tissue FIX Container rapidly penetrates and fixes tissue with a fixation rate of approximately 1 mm per 30 minutes.* Morphology and biomolecules are preserved without destructive crosslinking and degradation found in formalin-fixed tissues, and no molecular modifications are introduced that can inhibit sensitive downstream applications such as quantitative PCR or RT-PCR.
After fixation in PAXgene Tissue FIX, tissues are transferred into the PAXgene Tissue STABILIZER to stop the fixation process and optimally protect biomolecules for long-term storage. Tissues fixed and stabilized using the PAXgene Tissue System are crosslink-free and have been repeatedly demonstrated to contain high-quality biomolecules for sensitive molecular analyses.
Stored in PAXgene Tissue STABILIZER, tissues can be kept for up to 7 days at room temperature (15–25°C), up to 4 weeks at 2–8°C,** or for several years at –20°C to –80°C without negative effects on the morphology of the tissue or the integrity of its nucleic acids.
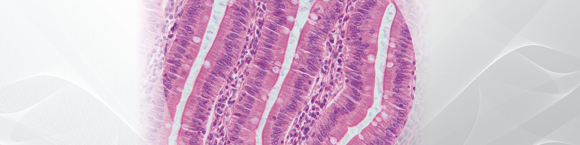
Tissues fixed and stablized with the PAXgene Tissue System can be embedded in paraffin using standard procedures. The resulting PAXgene Tissue-fixed, paraffin-embedded (PFPE) tissue samples can be sectioned for histological studies in the same way as formalin-fixed, paraffin-embedded (FFPE) tissues, requiring no specialized equipment. Standard staining protocols using hematoxylin/eosin or immunohistochemistry (IHC) generate slides with high staining intensity and clearly visible cellular features for histological assessment and tissue pathology evaluation.
For examples of different tissue types from diverse species and using different stains, please visit the Tissue Atlas. Furthermore, PFPE tissue samples enable a multimodal approach to tissue pathology analysis because high-quality nucleic acids and proteins can be extracted from the same sample used for histological assessment.
* Fixation rates depend on type and size of tissue.
** Storage at 2–8°C for more than 4 weeks must be validated for each tissue type.